近日,斯坦福大学官网发布了吴恩达团队的一项最新成果:放射科医师借助人工智能算法改进了脑动脉瘤的诊断——脑动脉瘤是大脑血管中的隆起物,可能会渗漏或破裂,可能导致中风、脑损伤或死亡。
这项成果发表在了JAMA Network Open上。斯坦福大学统计学研究生、该论文的联合第一作者Allison Park说,“人们对机器学习在医学领域的实际作用有很多担忧。这项研究显示了人类如何在人工智能工具的帮助下参与诊断过程。”
据雷锋网了解,该工具围绕一种名为HeadXNet的算法构建,可以提高临床医生正确识别动脉瘤的能力,其水平相当于在包含动脉瘤的100次扫描中发现另外六个动脉瘤,除此之外,它还能提高临床口译医生的共识。

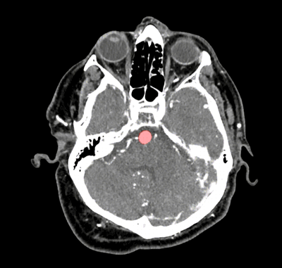
在脑部扫描中,HeadXNet使用透明的红色高光指示动脉瘤的位置。(图片来源:Allison Park)
虽然HeadXNet在这些实验中取得的成功很有价值,但研究团队提醒说,需要进一步调查,以便在实际临床部署之前评估AI工具的鲁棒性,因为不同医院拥有不同的设备硬件和成像协议,研究人员计划通过多中心合作解决这些问题。
医师在AI帮助下降低了漏诊率
对脑部扫描结果进行梳理、寻找动脉瘤意味着要浏览数百幅图像。动脉瘤有多种大小和形状,并以不同的角度向外膨胀——有些动脉瘤在一系列类似电影的图像中不过是一个光点。
“寻找动脉瘤是放射科医生最费力、最关键的任务之一,”放射学副教授、该论文的联合高级作者Kristen Yeom说,“考虑到复杂的神经血管解剖结构所带来的固有挑战,以及遗漏动脉瘤可能导致的致命后果,这促使我将计算机科学和视觉的进步成果应用于神经成像。”
Yeom将这个想法带到了斯坦福机器学习小组运行的AI for Healthcare Bootcamp,该小组由计算机科学副教授兼该论文的共同高级作者Andrew Ng(吴恩达)领导。小组的核心挑战是创建一种人工智能工具,可以准确地处理这些大量的3D图像并补充临床诊断实践。

通过该工具,临床医生正确识别出了更多的动脉瘤,从而降低了“漏诊率”,而且医生之间更有可能达成一致。此外,HeadXNet并没有影响临床医生决定诊断所需的时间,也没有影响医生在患者没有动脉瘤的情况下正确识别扫描的能力。
并不只是人工智能的自动化目前的扫描查看器并不是为配合深度学习而设计的,因此研究人员不得不开发定制的工具,将HeadXNet集成到扫描查看器中。
类似地,真实数据的变化——与算法所测试和训练的数据相反——可能会降低模型性能。如果该算法处理来自不同种类设备或成像协议的数据,或者处理不属于其原始训练的患者群体的数据,那么它可能不会像预期那样工作。不是单纯的人工智能自动化,而是人工智能和放射科医生的合作。我们仍有技术和非技术工作要做,但作为一个团队,我们将达到这一目标,人工智能与放射科医生的合作是最有希望的途径。